Clasificación de la Enfermedad
 
Inmadurez Retinal
 
No existe un limite neto entre la retina vascular y avascular. Los vasos retinales continúan creciendo normalmente hacia la periferia.
 
 
Etapas Clínicas
Etapa 1
Línea demarcatoria.
Etapa 2
Rodete o Ridge.
  Etapa 3
Ridge Vascular.
 
 
Etapa 4 A
DR. sin compromiso macular.
Etapa 4 B
DR. con compromiso macular.
  Etapa 5
DR. total
 
 
Signos Clínicos
Fondo de ojo de ROP Etapa 3. Ridge
vascularizado y "vasos en cepillo" (azul).
Detalle de vasos en cepillo que llegan al ridge.
 
Imagen de fondo de ojo con lupan de 28D que muestra ROP etapa 1-2 (flecha azul). Retina avascular de color anaranjado (flecha verde).
Imagen fondo de ojo con lupa de 28D .Muestra Rop etapa 3 (flecha azul). Retina avascular de color blanquecino (flecha rojo).
 
ROP etapa 3 severa. Neovasos se extienden desde el rigde hacia el vítreo.
 
 
PLUS
Fondo de ojo sin plus. Los vasos sanguíneos siguen un trayecto lineal hacia la periferia retinal.
Fondo de ojo con plus. Existe gran dilatación y tortuocidad vascular en Rop en Zona I
 
Fondo de ojo con plus. Existe dilatación venosa y tortuocidad arteriolar.
 
Otros signos clínicos
Túnica vasculosa lentis
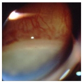
Percistencia de la túnica vasculosa lentis (TVL) en prematuros muy inmaduros.
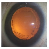
Ingurgitación de los vasos de la (TVL) en prematuro con ROP plus.
 
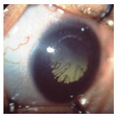
Quemadura iridiana por absorción del energía del laser por los vasos de la túnica vasculosa lentis.
 
 
Pop Corns
Fondo de ojo que muestra ROP estapa 3. vemos el ridge vascularizado (flecha verde) y algunos popcorns vascularizados (flecha azul).
Fondo de ojo que muestra popcorns blancos (flechas azules).
 
Vasos Puente
 
El video nos muestra " vasos puente" que corresponden a avusiones de vasos retinales que se extienden desde la retina vascular hacia el ridge haciendo sobra sobre la retina. No necesariamente se acompañan de DR.

 
Hemorragias
Foto de fondo de ojo en ROP avanzada que muestra hemorragia que oculta el ridge.
Foto de fondo de ojo en ROP avanzada que muestra hemorragia vítrea.