Los desprendimientos retinales (DR) en ROP pueden desarrollarse en pacientes que no han sido sometidos a screening y no han sido tratados previamente con láser o crioterapia o bien en aquellos pacientes con ROP severas que pese al tratamiento adecuado desarrollan este problema (5%-6%).

Los DR puedes ser totales o parciales, y estos a su vez con o sin compromiso macular. Se clasifican en :

4A: DR parcial sin compromiso macular.
4B: DR parcial con compromiso macular
5: DR total

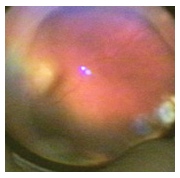
Etapa 4A
Etapa 4A
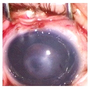
Etapa 5

 

Los DR parciales son inestables y cambian a un estado más desfavorable con el tiempo. En el Cryo-ROP study, aquellos desprendimientos de retina que fueron 4A a los 3 meses, solamente el 9.6% lo seguía siendo al ser reevaluados a los 4 ½ años. El resto había evolucionado a estados más desfavorables como 4B o 5. Los ojos que fueron catalogados como 4B a los 3 meses, sólo el 14% continuaba siendo 4B a los 4 ½ años. Desde el punto de vista de la agudeza visual el 76% de los ojos con etapa 4A fueron ciegos a los 4 ½ años (41).

El número de segmentos con DR fue un factor predictor del pronóstico a largo plazo de estos ojos. Un 20% de aquellos ojos que tuvieron 9 ó menos sectores (3 segmentos) comprometidos tuvieron un resultado estructural desfavorable comparados con el 92% de aquellos que tuvieron 13 ó más sectores comprometidos. Considerando al fondo de ojo subdividido en 34 sectores, 12 en zona I, 12 en zona II y 10 en zona III. Sin embargo el resultado funcional dependerá no sólo del número de sectores retinales comprometidos por el DR sino también por la presencia de compromiso macular a los tres meses. La aparición de estos desprendimientos retinales tiene relación con la formación de membranas vítreas y epirretinales (35). El desprendimiento retinal en ROP es característicamente traccional, con un mayor o menor componente exudativo y en algunos casos mixto.

 

DR 4A
DR 5

 

Las características del vítreo en el prematuro son distintas a las de un adulto. En el prematuro el vítreo constituye realmente un gel que pareciera tener una continuidad anatómica con el plano de la retina, lo que hace la extracción de la hialoides posterior prácticamente imposible por medios mecánicos, sin el riesgo de generar desgarros o diálisis retinales. La neovascularización proveniente del ridge tiende a crecer hacia el vítreo, formando verdaderas láminas fibrosvasculares que llegan a tomar contacto con el cristalino y cuya contracción contribuirá al desprendimiento retinal. La formación y contracción de estas membranas generará multiples vectores de tracción vítreo-retinales que determinarán la configuración final del DR.

Vectores vitreo-retinales (4):

a) Vector de tracción desde el ridge al cristalino.
b) Vector de tracción entre el ridge y el cuerpo ciliar (Foto A).
c) Vector generado por la formación de condensaciones vítreas entre los distintos sectores del extremo anterior del ridge.
d) Vector entre el ridge y la retina.
e) Vector circunferencial generado por la contracción del ridge (Foto B).

 

 
Foto B
Foto A
 

Cuando el DR es total, la suma de estos vectores dará origen a distintas configuraciones del desprendimiento de retina. Entre ellas tenemos (17):

a) Túnel abierto tanto anterior como posteriormente, en este caso existe un DR cóncavo que se extiende hacia la papila.
b) Túnel estrecho tanto anterior como posteriormente, el desprendimiento retinal se localiza apenas detrás del cristalino.
c) Túnel abierto anteriormente y cerrado o estrecho posteriormente (Foto A).
d) Túnel cerrado anteriormente y abierto posteriormente (Foto B).

Foto A

 

Foto B

 

 

 

 

 

 

 

Los DR exudativos se encuentran acompañando al desprendimiento traccional principalmente durante el período agudo de retinopatías severas y este componente suele involucionar a medida que la retinopatía se inactiva. El líquido subretinal contiene sangre. Es denso, de color citrino y en ocaciones es posible observar cristales que se desplazan en el espacio subretinal, principalmente en aquellos desprendimientos retinales crónicos.

El tercer tipo de desprendimiento retinal es el DR mixto que suele combinar DR traccional con un componente regmatógeno producto de diálisis retinales por la contracción de membranas fibrovasculares y aquellos casos en que se ha producido necrosis de la retina secundarios al tratamiento de la etapa aguda con crioterapia (foto); son estos los casos de mayor complejidad en su resolución quirúrgica exigiendo la mayoría de ellos la aplicación adicional de explantes y silicona, pese a lo cual el pronóstico es malo.

 

 

El diagnóstico del desprendimiento retinal debe ser precoz pues la evolución del DR suele ser muy veloz. Al operar un paciente en Etapa 4A esperamos obtener mejores resultados anatómicos y funcionales. En este estado la cirugía es también menos invasiva, generalmente puede ser realizada con técnica 25G y permite la conservación del cristalino pues la formación de membranas retino-cristalineanas aún no se ha consolidado y no han tomado contacto con este. Cuando operamos un paciente en etapas 4B más avanzadas, es necesaria la extracción del cristalino para tener un acceso al polo posterior. El abordaje anterior a través del limbo en estos casos (4B o 5) evita iatrogenias como las diálisis o desgarros retinales al momento de ingresar al ojo.

Desprendimiento Retinal en Zona I:
El DR en zona I suele presentar una anatomía distinta al DR clásico en ROP. En aquellos casos con evolución desfavorable, es posible observar como la neovascularización se extiende más allá del ridge (foto a), continúa la aparición de fibrosis epiretinal y contracción de esta (foto b), generando el clásico DR en cono o volcán (foto c).

Foto A

Foto B

Foto C

   

 

Desprendimiento Retinal Crónico:

Utilizamos el término de DR crónico para pacientes que tienen un DR que ha evolucionado por más de 6 meses, suele tratarse de etapas 4B o 5.

La historia natural de los pacientes con DR crónico es la visión cero. En aquellos casos que no fueron tratados con láser o crioterapia es frecuente encontrar como estado terminal una anteriorización del diafragma iridocristalineano con contacto entre el cristalino y la cornea, leucoma y descompensación corneal, glaucoma y finalmente ptisis bulbi. En otros casos sin embargo existe visión de luz y/o potenciales visuales evocados positivos.

Su indicación quirúrgica pretende evitar complicaciones secundarias al DR total, conservar visión de luz lo que permite la mantención más adecuada de los ritmos circadianos, una mejor adaptación al medio ambiente y la posibilidad de mantener retina viable para terapias futuras aún en desarrollo. Asimismo, la posibilidad de conservar el globo ocular permite un mejor desarrollo orbitario y del macizo facial.

 

Desprendimiento Retinal Tardío:
Aquellos pacientes que desarrollan algún grado de ROP tienen mayor riesgo de desarrollar desprendimientos de retina a lo largo de su vida. Estos corresponden a los DR tardíos.

El manejo quirúrgico del desprendimiento de retina tardío es complejo. Se trata generalmente de DR regmatógenos, donde existen adherencias patológicas del vítreo a la retina, DVP parcial y desarrollan rápidamente PVR subretinal acentuada. Generalmente su manejo primario es la vitrectomía sóla o vitrectomía más explante.



En pacientes tratados con crioterapia ha sido descrita la aparición de desprendimientos retinales regmatógenos por desgarros en el límite entre la retina vascular y la avascular tratada a la edad de 3 a 4 años de vida (45).