La prematuridad es
actualmente reconocida como una causa de morbilidad ocular, la que
se incrementa aún más cuando los niños desarrollan
ROP.
Los niños con antecedentes de ROP con o sin cambios retinales
visibles han ido alcanzando la edad adulta y con ello se han hecho
manifiestas complicaciones atribuíbles a la prematuridad
que hacen que estos pacientes requieran de un control oftalmológico
de por vida. Entre estas complicaciones oftalmológicas se
encuentran la temprana aparición de cataratas y glaucoma
de ángulo cerrado y neovascular, una mayor incidencia de
alta miopía, desgarros retinales y desprendimiento retinal
regmatógeno y exudativo, parálisis oculomotoras e
hipoplasia del nervio óptico, entre otras.

Los niños que desarrollan algún grado
de ROP presentan cambios retinales que tienen significado clínico
futuro. Entre estos cambios se encuentran:
Cambios vasculares: anomalías en la bifurcación
de los vasos retinales periféricos, vasos telangiectásicos
en la periferia retinal, mala perfusión vascular periférica,
agudización en el ángulo de las arcadas vasculares
principales, tortuosidad vascular, etc.
Cambios retinales: cambios pigmentarios
(Foto A), ectopia macular, alteraciones en la interfase vítreo-retinal,
zonas de atrofia retinal, degeneración lattice, desgarros
periféricos, membranas vítreas (Foto B), tracción
papilar, pliegues retinales (Foto C), esquisis retinal, etc. (17,19).
Los pacientes que desarrollan algún grado
de ROP, tienen un riesgo elevado de hacer DR regmatógenos
durante toda su vida. Estos desprendimientos tienen un mayor índice
de falla en la reparación primaria, sin embargo cuando su
reparación considera la utilización de buckle más
vitrectomía o vitrectomía sola el pronóstico
visual y anatómico es bueno (18).
La miopía y alta miopía son
un problema común en los pacientes prematuros y su incidencia
se incrementa mientras más prematuro sea el RN, independientemente
del grado de ROP que este desarrolle y mientras mayor grado de ROP
desarrolle independientemente del peso de nacimiento y edad gestacional.
Esta alta miopía no estaría dada sólo por una
miopía axial sino que por una combinación de esta
con cambios en la curvatura corneal, aumento en el diámetro
antero-posterior del cristalino y un desplazamiento del diafragma
iridocristalineano (20).
Algunos estudios han postulado que la prevalencia de alta miopía
sería aún mayor en aquellos ojos tratados con crioterapia
que en los controles y en aquellos ojos tratados con láser
la incidencia de alta miopía sería menor (33). Sin
embargo la evaluación de los datos obtenidos a los 10 años
del CRYO-ROP Study sugiere que el desarrollo de un error refractivo
entre +8.0D y -8.0D no sería afectado por la crioterapia
y que la mayor incidencia de alta miopía en ojos tratados
sería debido a que el tratamiento conservaría estructuralmente
ojos que de otro modo habrían evolucionado al desprendimiento
de retina y no habrían podido ser refractados (32).
Los recién nacidos de término tienen
una incidencia aproximada de estrabismo de 2.5%.
La prematuridad hace que este porcentaje se eleve a un 15%. Existen
múltiples factores que pueden contribuir a la aparición
de estrabismo en el niño prematuro, entre ellos, la presencia
de alta miopía, ambliopía, anisometropía, daño
neurológico y parálisis de nervios oculomotores secundarios
a hemorragias cerebrales, etc. El riesgo de ambliopía y sus
severas consecuencias sobre la visión hacen que debamos estar
atentos a la aparición de un estrabismo para su precoz tratamiento
(19,20).

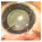
La aparición de cataratas en
el niño tratado por retinopatía del prematuro ha sido
documentada y cuantificada en aproximadamente un 1% a 6%. Se ha
sugerido que su aparición sería secundaria a la absorción
térmica por parte del cristalino de la energía emitida
por el láser captada primariamente por una túnica
vasculosa lentis prominente, principalmente cuando los tratamientos
son realizados con láser Argón. Se recomienda actualmente
realizar el tratamiento con láser diodo 810nm., con el cual
la incidencia de catarata sería menor.

Se describe también la aparición
precoz de cataratas en adultos con antecedentes de prematuridad
y ROP (21).
En nuestro país, los niños diagnosticados
con ROP se mantienen bajo estrecha vigilancia oftalmológica,
principalmente durante los dos primeros años de vida para
controlar la aparición y tratar oportunamente los trastornos
antes mencionados. Los niños tratados con láser o
vitrectomía son controlados semanalmente hasta corroborar
el éxito de nuestra intervención y luego a los 3 y
9 meses de edad corregida, a no ser que exista una patología
concomitante que requiera incrementar el número de controles.
Todos aquellos que desarrollaron ROP requieren control anual hasta
los 7 años y de ser posible de por vida. En los controles
los niños deben ser sometidos a estudios de fondo de ojo,
campo visual, presión ocular, evaluaciones de motilidad extrínseca
del ojo, además de evaluar periódicamente la visión
y necesidad de lentes. Aquellos niños afáquicos requerirán
el uso de lentes de contacto que son proporcionados al mes de la
cirugía y que son revisados periodicamente.
Cuando observamos el fondo de ojo de un niño que ha sido
tratado por ROP avanzada sabemos que nos encontraremos con un fondo
de ojo que dista bastante de lo normal. Pese a ello debemos hacer
todos los esfuerzos refractivos posibles para optimizar la visión
que ese niño pueda lograr.
  
|