| En la retina normal
inmadura de un prematuro existe una transición casi imperceptible
entre la retina vascular y avascular. Los vasos de la retina vascular
son delgados y lineales, continúan creciendo centrífugamente
hacia la periferia. Mientras no alcancen la ora serrata y no exista
ROP, denominaremos a esta etapa "Inmadurez Retinal".
Cuando existe ROP es importante conocer el grado
de alteración existente en la vasculatura retinal. Para ello
la enfermedad se ha subdividido en 5 etapas clínicas sucesivas,
que van desde la más leve hasta la de mayor gravedad.
ETAPA 1:
Existe una línea de demarcación entre la zona vascular
y avascular de la retina. En esta etapa el crecimiento de los vasos
retinales se ha detenido, existiendo bifurcaciones anormales de
los vasos retinales terminales (3).
ETAPA 2:
La línea demarcatoria entre la retina vascular y
avascular adquiere volumen, se presenta clínicamente como
un rodete blanquecino al que se da el nombre de "ridge".
Se puede observar como los vasos retinales parecen dilatarse y bifurcarse
antes de llegar al ridge. Los llamamos vasos en cepillo.
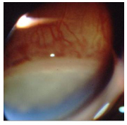
ETAPA 3:
Se caracteriza por la presencia de tejido proliferativo fibrovascular
extra-retinal que se proyecta desde el borde posterior del ridge
hacia el vítreo, o sobre el plano de la retina (Foto C).
Inicialmente se observan pequeñas yemas neovasculares (Foto
A) que originarán vasos sanguineos (Foto B). La etapa 3 se
puede subclasificar en leve, moderado y severa dependiendo de la
extensión de tejido fibrovascular extraretinal que infiltra
el vítreo.
En el fondo de ojo de un RN prematuro pueden coexistir
más de una de estas etapas, al momento de definir un diagnóstico
consideraremos la etapa más avanzada. Es importante para
evaluar el grado de progresión en los controles posteriores
registrar en un dibujo la etapa en que se encuentra cada sector
horario de la retina. Durante el examen de fondo de ojo la indentación
debe ser suave para así evitar la oclusión de los
vasos, pues nos puede llevar a un subdiagnóstico de la etapa
3.

Las distintas etapas de la enfermedad se pueden
ir sucediendo repetidamente en un mismo ojo. Es decir, un prematuro
puede alcanzar una etapa 2 ó 3 y luego involucionar, comenzando
nuevamente con el desarrollo de ROP en una zona de retina más
anterior y progresando hasta requerir tratamiento o involucionando
nuevamente hasta completar la vascularización retinal (ver
foto).
ETAPA 4:
Corresponde al desprendimiento de retina parcial. Dependiendo si
existe o no compromiso macular se subdivide en etapa 4A y etapa
4B.
Etapa 4A: Desprendimiento de retina parcial extra foveal. Estos
desprendimientos retinales pueden ser circunferenciales, cóncavos
y segmentarios. Cuando no se extienden posteriormente el pronóstico
visual es bueno (17). Sabemos que este tipo de DR es muy inestable,
pudiendo progresar y comprometer la mácula en un 85% de los
casos. Esta etapa constituye una verdadera ventana terapéutica.
Etapa 4B:
Desprendimiento retinal parcial con compromiso foveal. Generalmente
es segmentario. El pronóstico anatómico y funcional
de estos casos es peor que en etapa 4A.
El desprendimiento retinal en la Retinopatía
del Prematuro es de origen traccional y presenta un componente exudativo
asociado. El fluido subretinal suele ser de aspecto sanguinolento
y las áreas de desprendimiento retinal suelen estar demarcadas
por un cambio de coloración y exudados.
Es importante no confundir las zonas de DR con
zonas en las cuales vasos retinales se elevan sobre el plano de
la retina para ingresar al ridge sin existir necesariamente un desprendimiento
retinal, son los denominados “vasos puente”.
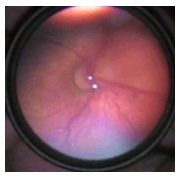
ETAPA 5: Corresponde a un desprendimiento
retinal total. El pronóstico visual en esta etapa es aún
peor y dejado a su evolución natural lleva a la ceguera.
Son fundamentalmente de origen traccional y tienen un componente
exudativo, principalmente, cuando aún existe actividad de
la retinopatía (Foto A). En etapas finales predomina la formación
de gruesas membranas epiretinales prácticamente fusionadas
con la retina, los procesos ciliares y la cápsula posterior
del cristalino (Foto B).
Los estados más avanzados de la enfermedad
suelen comprometer no sólo la retina sino también
el segmento anterior del ojo, así estados 5 dejados a su
libre evolución suelen terminar con aplastamiento de la cámara
anterior, edema corneal y glaucoma o hipotonía. También en estos casos se puede observar
atrofia del iris, sinequias posteriores y ectropion uveal.
|